Restore Your Smile in Apex

Comprehensive Dentistry at Apex Dental Group includes prosthodontic procedures which restores of your smile through the replacement of teeth for aesthetics and proper function. Root Canals are discussed on the Adult Comprehensive page although they area different type of restoration and include a prosthodontic crown discussed on this page. Dr. J. Kitzmiller, DDS restores your smile with implants, crowns, bridges, partials and restorations.

Your smile is important for your health and self-esteem. Our dental clinic in Apex has state of the art, advanced comprehensive dental technology to make restoration as fast and simple as possible.

Don’t see a time that fits? Give us a call at 919-362-1341 – we may have additional availability.

What is an Implant?

A dental implant is a small, titanium root replacement, surgically placed in the upper or lower jawbone. Similar to a tooth’s original root, implants function to provide the foundation for single tooth crowns, multiple tooth bridges, or partial and full dentures.

Implants act and function like normal teeth and prevent movement, or drifting, of adjacent teeth. Chewing on your teeth stimulate the formation of bone and without that stimulation, the bone goes away. Implants, like teeth help maintain bone and prevent bone loss. Gaps can be closed with implants to provide a long-lasting, beautiful option.

dental implant tooth in Apex

Apex Dental Group Uses CEREC® Digital Technology for Restorations

  • Crowns restore individual teeth that have had multiple fillings.
  • CEREC® Dentistry brings you a Crown in a day!
  • Implants restore missing teeth or teeth that need removal.
  • Bridges replace one to two missing teeth.
  • Partials replace large groups of teeth.
  • Dentures replace all of your teeth.

Visit our Patient Education Center  under the Topic “Restoring Teeth” and remember to look at related treatments on the Cosmetic Treatments page.

Cerec Crowns

What is a Crown?

Crowns restore individual teeth that have had multiple fillings.

A crown restores the tooth and strengthens it and returns it to its normal size and shape. Sometimes crowns are placed to support a bridge. A crown is needed after a root canal.

CEREC Crowns

CEREC® Crowns-in-day is cutting edge technology where the crown in milled in our office! It is very similar to 3D printing. It can’t be used every time, but in many instances, we can make a digital impression through a video capture. The computer transforms the video into a 3D representation of your teeth to make the crown. With CEREC crown you won’t be able to tell you have a crown by the dark ugly metal showing at the gum line. When you have CEREC® dentistry at Apex Dental Group you leave our Apex, NC office with a beautiful ceramic crown without having the sticky, gagging impressions (we do computerized tooth scans),  and there is no waiting for your next appointment with a temporary crown. It’s done IN OUR APEX OFFICE the same day!

CEREC / CAD CAM Technology

The Cerec crown can be made in the office or sent to a lab electronically if you are not a candidate for the crown to be milled here our office in Apex, NC. Apex Dental Group specializes in CEREC dentistry.

Our Goals

  • Replace teeth that show and restore your beautiful smile.
  • Make chewing and eating more comfortable.
  • Prevent teeth from drifting and ruining your bite.

Why do I need a crown?

  • Crowns, also referred to as “caps”, help hold the tooth together when the filling becomes very large.
  • Crowns help protect the tooth from cracking and splitting.
  • Teeth that have had Root Canal Therapy need crowns to hold them together.
  • Crowns can be made of different materials according to your need.

Are there any options to crowns?

By the time a tooth has had multiple fillings, a crown may be the only option to preserve the tooth. Sometimes an onlay (partial crown) may be used to cover over the weak portion and hold the tooth together.

Types of Materials Used in Crowns

We will help you select the right material for your crown especially selected for your mouth.

Gold / Metal Crowns
  • All metal crowns are more conservative for the tooth / nerve.
  • These crowns can be used in the back where they are not seen.
  • Metal crowns will not break or fracture like a tooth colored crown.
  • People who grind or brux are candidates for a metal crown.
  • Porcelain crowns are tooth-colored and look more natural than metal crowns.
  • They do not show metal beneath the crown, but don’t hide badly discolored teeth.
  • Newer Zirconia crowns resist breakage but are harder to match to other teeth.

Porcelain Crown Fused to a Metal Base (PFM)

  • These types of crowns are tooth-colored and look natural.
  • Porcelain fused crowns will easily hide severely discolored teeth.
  • They are a very strong and durable type of crown that will match the color of other teeth more precisely.

CEREC® Crown-in-a-Day Technology

  • A CEREC restoration is fabricated from a ceramic block on our milling machine, right in our office.
  • The dentist places the custom-fit restoration a short time later, during the same visit.

Procedures for Implants
for Single Teeth, Bridges or Dentures

Treament Options for Discussion

Root Canal

Restores a Tooth with Oral Surgery & CEREC Crown

  • Removes infection and keeps tooth.
  • Preserves bone.
  • Holds space.
  • Can be a CEREC “Crown in a Day” or traditional style crown.
  • Replaces the tooth.
  • Preserves bone.
  • Holds space.

Restores a Tooth with Implant & CEREC Crown or Bridge

  • Replaces damaged tooth and root.
  • Preserves bone.
  • Holds space.
  • Most affordable long-term if done early.
  • Implants are generally a conservative option that replace the missing tooth / teeth without damaging the teeth next door.
  • Restoring the mouth with implants and a dental bridge is accomplished in two phases. The first phase is the surgical placement of the implants. They are left under the gums for several months while the bone attaches to them. After healing, the second phase.

Bridges & Implant Combination

  • 2 crowns connected together to close space.
  • Does not preserve bone.
  • Prevents teeth from moving, preserving your bite.
  • Average bridge lasts 13 years. Bridges fail because.
    • #1 – cavity around bridge.
    • #2 – tooth splits.
  • There are many ways to effectively replace teeth with a combination of options with implants and bridges.

Partial Denture or Combination

  • Plastic and metal piece taken in and out at night.
  • Does not preserve bone.
  • Prevents teeth from moving, preserving your bite.
  • If many teeth are missing, a partial denture can be used
  • Implant bridges and single implants can be used to replace multiple missing teeth with the need for a removable partial denture.
  • Longer bridges are more risky and prone to failure so partial dentures are a better option.

Not Recommended

  • Does not preserve bone.
  • Teeth begin to drift.
  • Your bite collapses and can lead to potential joint problems.
  • With the loss of your teeth, your cheeks and lips will sink in.

Implants

Endodontics

Over the last 20 years dental implants have become more and more predictable over time, and when compared to root canal therapy, they are beginning to be more predictable than root canal treatment. More consideration is now being given to implants as a treatment option, and they are now more frequently covered by insurance due to their long term success. There are many factors involved in evaluating whether dental implants are right for you. Together we will determine the best treatment care plan for your situation.

What are implants?

Dental implants are used to replace missing teeth. They are made of Titanium and are surgically placed into bone. Implants often have specially treated surfaces and special designs that make them look and act like real teeth. Single tooth implants generally have three parts:
  • The implant is a titanium pin is placed into bone.
  • The abutment is made of high-strength materials, attaches to the implant, and helps support the crown (cap).
  • The crown is cemented or glued to the abutment.
Planning and design for implant crown can be tied together with cone beam imaging and CEREC® technology. (See our Office & Technology page to learn more.) This allows for well-planned and thought out restorations that are designed specifically for you. Ask us at your next appointment for more information about CEREC dentistry for a “Crown in a day” in Apex, NC.

Comfort Measures​

We offer comfort measures for anxiety and pain control that other dentists in the Apex, Cary, Raleigh / Durham area do not offer.

Our Goals

  • Define what implants are and what they do for you.
  • Review the dental implant options that are available to you.
  • Provide a long-term stable tooth replacement in different ways:
    • As a Single tooth replacement.
    • As a Combined with a bridge.
    • As a Combined with a partial denture.
    • As a Combined with a full denture.
  • Describe the advantages and disadvantages of dental implants
  • Explain the basis steps in implant placement.
  • Use our CEREC® Crown technology after the implant, if possible.

Implants Prevent the Loss of Bone and Gum tissue

Once a tooth is extracted, the bone and gums slowly dissolve over time. Chewing on your teeth stimulate the formation of bone and without that the bone shrinks.

The gums are supported by the bone and will diminish with it. If a tooth is extracted, the dentist may place a bone graft to prevent the bone from dissolving so quickly after extraction. It is more costly and time consuming to regrow the bone and gums later.

Early implant placement makes the teeth look more realistic and more esthetic.

Advantages and Disadvantages of Dental Implant

  • Increased long term success when compared to root canal therapy.
  • No need to damage adjacent healthy teeth.
  • Decrease chance of root canal therapy on prepared teeth.
  • Better long term cost. On average, a bridge needs to be replaces every 10 to 12 years. One replacement will justify cost of a dental implant. See the example below under “Cost Advantage of an Implant.
  • Keeps bone in the area.
  • When properly planned, implants are esthetic and result in a beautiful smile.
  • When combined with full dentures, implants fit more snugly.
  • When combined with partial dentures, clasps can be removed and are not visible.
  • No cavities can form on implants.

An implant will grant better long term cost. On average, a bridge needs to be replaces every 10 to 12 years. One replacement will justify cost of a dental implant.

Comparison of Costs Long Term Examples

Treatment Scenario
YearTreatmentCost
1989Bridge 2-4$3,000
2001Bridge 2-5
(lost tooth 4)
$4,000
2010Implant Crowns
(3 & 4)
$7,000
2010Crown #5
(kept 3)
$1,000
Total $15,000
Compared to:
Ideal
(1989 Cost)
Implant &
Crown #3
$3,500
Savings $11,500
  • High initial cost, but lower long term cost.
  • May take more time to achieve final result.
  • There is no “feeling” with an implant.
  • Less insurance coverage for implants, although this is improving.
  • Additional bone grafting may be needed to replace missing bone or fill in an underlying sinus.
  • Soft tissue (gums) may need to be developed (grown) around the teeth to achieve a more natural look.
  • Implants require surgical intervention.
  • With poor home care, loss of bone around dental implants may occur.
  • Cost.
  • All other treatment (cavities, gum disease etc.) must be completed first.
  • Orthodontics / Braces
    • Braces MUST be put on before dental implants.
    • Implants don’t move like teeth.
    • If an implant is placed before braces, the other teeth will have to be moved around the implant. Your final smile may look misaligned.
  • Implant placement is usually the final step of most dental treatment plans, but ask us to evaluate your situation and we can help you decide.
  • Implants require more planning when there are more dental problems.

It depends on your own circumstances, including:

    • how much bone is present,
    • the need to avoid nerves, blood vessels and sinus in the area,
    • if there is enough gum.
  • Following dental implant surgery you will need an average of 3 to 4 months for healing before a crown can be safely placed on the implant. Occasionally, patients need a full year to heal.
  • Once the bone and gum around the implant has healed, your dentist will take an impression of the implant and surrounding teeth. Your crown may be made, in the office, the same day; or it may be made in our referral lab and will be ready in  in about two weeks. (See Crowns for “Crowns in day” or Cerec Crowns.)
  • Some dental implants can be placed immediately after tooth removal and a temporary crown attached on the day of surgery. This type of placement is at greater risk for failure. Certain factors must be present before you and your dentist consider this option.

Because the time required to heal varies, plan on receiving your implant crown in 4 months (best case) to 1 year (worst case).

  • Dentistry has developed its own “dental CT.”
  • Aids our dentist in diagnosis, treatment planning and dental implant placement.
  • Lower radiation exposure than medical “CT.”
  • Three-dimensional (3D) image of bone, nerves and structures.
  • Helps avoid damage to nerves, blood vessels and other structures during implant surgery.
  • Aids in proper orientation and placement of the implant in bone.

Visit our Office & Technology page for more information on Cone Beam Technology.

  1. Diagnosis that tooth cannot be fixed or requires too much time and expense to keep.
  2. Models of your teeth are taken to plan for the implant.
  3. Dental cone beam x-ray taken to evaluate surgical site.
  4. Severely damage tooth extracted, bone graft placed, temporary tooth covers space.
  5. After 3 to 4 months of healing, final impression for abutment and crown taken.
  6. Same day to two weeks later, placement of abutment and crown.

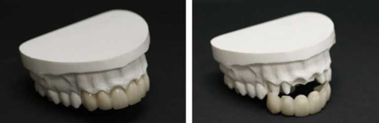
Bridges

What is a Bridge?​

A bridge is used to replace one or more missing teeth. Like a bridge used by cars, a bridge is connected at both ends. Each end has a crown and in the middle is a tooth that is connected to the crowns. Bridges can now be made with porcelain or ceramic using CEREC technology. Getting a bridge can be done in two appointments.

Our Goals

  • Improve your smile quickly and easily.
  • Improve chewing.
  • Prevent drifting of other teeth.
  • Help your speech (especially affected teeth near the front).
Bridges on plaster molds at Apex Dental Group in Apex NC

CEREC® Bridge Application

Dr. Kitzmiller specializes in CEREC® dentistry. The video animation below shows how your procedure is completed in one day with CEREC® Technology.

Visit our Patient Education Center  under the Topic “Restoring Teeth” for more videos and details.

Partials

What are Partials?

A partial “plate” is a denture that replaces multiple teeth in one piece. They can be made of plastic or a combination of plastic and metal. These must be taken out at night.

Partials can be uncomfortable, especially on the bottom. They can trap food which can lead to other dental health problems.

Our Goals

  • Create a more natural and beautiful smile.
  • Restore chewing and speech.
  • Prevent the drifting of teeth.

Dentures

What are Dentures?

Full dentures replace all of your existing teeth, and are fit to your gums and bones to help stabilize them. They are more “movable & loose” than natural teeth. Dentures are not as effective as your natural teeth. Learning to eat, and speak with them will take a little time to get used to.

Patient Education Icon OwlThere is extensive information on dentures and combination of implants and dentures in our Patient Education Center  under the Topic “Restoring Teeth.”

Other Options or Supplements to Dentures

  1. Placement of dental implants . They can be used in to help stabilize your loose denture and can provide more comfort.
  2. Full replacement of your teeth with implants. Many implants can be placed to make a “denture” that does not have to come out at night. There are many variations of this type of denture.

Inlays & Onlays

Inlays

An inlay is similar to a filling but made outside the mouth and then cemented or bonded in.

Onlays

An onlay is a type of partial crown, a filling made of metal, porcelain, or acrylic. It’s more extensive than an inlay because it covers one or more cusps.

Fillings & Bonding​

Composite Fillings

Composite fillings (tooth-colored) are aesthetic and long-lasting. They require less drilling away of the tooth structure than the silver amalgam fillings.

Composite resin comes in many tooth colors so it can be matched to the tooth.

What is Bonding?

The composite material used for fillings can also be used to repair minor chips and gaps that plague your smile. This process is called dental bonding. It is a cost-effective fix for small, cosmetic improvements.

Five-Star Reviews From Happy Clients

FAQs

Got questions? We’ve put together answers to some of the most common things our patients ask—so you’re ready for your visit.

FAQ at apex dental group

What is restorative dentistry?

Restorative dentistry focuses on repairing or replacing damaged or missing teeth to restore your smile’s function and appearance. At Apex Dental Group, we offer a range of treatments including crowns, bridges, implants, and dentures.

You may need restorative care if you have a chipped, decayed, or missing tooth, or if old fillings or crowns have worn down. Our Apex dentist will evaluate your mouth and recommend the best solution to restore your bite and confidence.

A crown covers and strengthens a damaged tooth, while a bridge replaces one or more missing teeth by anchoring to nearby teeth. Both options are designed to blend naturally with your smile.

Dental implants can last for decades with good oral hygiene and regular checkups. They’re a long-term solution that feels and functions like a natural tooth, offering exceptional comfort and durability.

Dentures are custom-made appliances that replace multiple missing teeth. They can be full (for all teeth) or partial (for a few missing teeth). Our team ensures a comfortable, natural-looking fit so you can eat and speak confidently again.

A CEREC crown is crafted and placed in a single visit using advanced digital technology. This means no temporary crowns or multiple appointments—just a fast, precise restoration designed right here in our Apex office.

Most restorative procedures are done using local anesthesia, so you’ll remain comfortable throughout treatment. Any mild soreness afterward is temporary and can be managed with over-the-counter pain relief.

Brush and floss daily, and visit our office for routine cleanings. Avoid biting hard foods or objects, and maintain good oral hygiene to keep your restorations looking and functioning their best.

Costs vary depending on the treatment and number of teeth involved. During your consultation, we’ll provide a clear estimate and discuss insurance and financing options to make care affordable.

Our Apex team combines advanced technology with personalized care. Whether you need a simple filling or a full-mouth restoration, we focus on comfort, precision, and lasting results that help you smile with confidence again.

Visit our Patient Education Center  under the Topic “Restoring Teeth” and remember to look at related treatments on the Cosmetic Treatments page.

Scroll to Top
Text Us Today