Personalized Smile Design in Apex, NC
Ever desire to change something about your smile? Design your ‘before & after’ with Dr. Kitzmiller to create your perfect smile using Smile Design visualization technology. He uses photos taken of your current smile to visualize what your smile will look like after you complete your Smile Design with Apex Dental Group.
We suggest you visit the Restore your Smile and Cosmetic Dentistry pages of our website as well.
Don’t see a time that fits? Give us a call at 919-362-1341 – we may have additional availability.
What does your perfect smile look like?
- What color looks best for your smile?
- Do some teeth need to have a different shape or size?
- What do you wish your smile would look like?
- Want to change your “gummy smile”?
- Are some of your teeth too short?
- Are your teeth crooked?
We discuss your desires and all of your options at your Smile Design Consultation.
Visualization
- WITH You
- FOR You
- BY You
Trial Version
- Diagnostic trial coverings are used to see your perfect smile.
- See your smile before the dentistry starts.
This intraoral mock-up is a method used for both the dentist and patient to evaluate the new look and tooth position and therefore the facial esthetics of the patient.
It gives the patient an opportunity to approve of the proposed changes before any irreversible treatment is carried out.
Cosmetic treatments and dental restoration work is crafted to match the mock-up. It may involve orthodontic tooth movements, gingival recontouring, crown lengthening surgeries, or implant placements depending on the plan we design together.
ClearCorrect Questions & Answers from Apex Dental Group
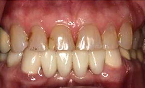
Tired Teeth Before
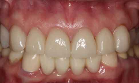
Shiny New Teeth After 'Smile Design'
Five-Star Reviews From Happy Clients
Trustindex verifies that the original source of the review is Google. My experience with Apex Dental Group was great. I was treated by everyone so nice that I felt very comfortable to be in that dentist office. They were very professional while making me feel relaxed.Posted on maryTrustindex verifies that the original source of the review is Google. A great visit like always! Excellent team all around! We always recommend to others who ask for recommendations!Posted on Michael MorrisTrustindex verifies that the original source of the review is Google. Everyone is very helpful. Great doctorPosted on Apra KhatriTrustindex verifies that the original source of the review is Google. I have been going to Dr Kitzmiller for a number of years and I cannot say enough great things about him and his staff! I appreciate the time and expertise Dr Kitzmiller gives to his patients. He is always very thorough in his explanations and does what is best for the patient. Thank you to his staff for being extra kind and caring! Need a good dentist? This is your guy!!!Posted on Kristi SundbergTrustindex verifies that the original source of the review is Google. Everything was great! Front desk was super nice and helpful! Dr K is a wonderful dentist.Posted on Terry WestTrustindex verifies that the original source of the review is Google. I have been a patient here for years. Dr K and his staff are professional and just wonderful! Thank you for such professionalism. Dr K does wondersPosted on Viki KennedyTrustindex verifies that the original source of the review is Google. This is the best practice ever!! Dr.Kitzmiller is extremely knowledgeable, professional and friendly. The Dental Hygenist did a great job. She was very gentle. The office is extremely friendly and welcoming.Posted on GINATrustindex verifies that the original source of the review is Google. Dr K has been my dentist for years .. simply the best around . Attention to detail is unmatched.Posted on Don PetersTrustindex verifies that the original source of the review is Google. The hygienist was gentle, quick and friendly. I always enjoy catching up with Dr. Kitzmiller too.Posted on Lisa PrinceTrustindex verifies that the original source of the review is Google. Love Dr. Kitzmiller. He has been my dentist for many years now in Apex NC. Only have great things to say about him. Very attentive and he genuinely cares. Highly recommend!Posted on Matt Peedin
FAQs
Got questions? We’ve put together answers to some of the most common things our patients ask—so you’re ready for your visit.
What is a personalized smile design?
Smile design is a customized treatment plan that combines art and dentistry to enhance your smile. At Apex Dental Group, we use digital imaging to plan how your new smile will look before treatment even begins.
How do I know if I’m a candidate for smile design?
If you’re unhappy with the shape, color, or alignment of your teeth, smile design might be perfect for you. It’s ideal for patients who want to improve both appearance and confidence with a personalized approach.
What dental issues can smile design correct?
Smile design can address several concerns, including uneven or chipped teeth, discoloration, spacing issues, and worn edges. We’ll review your goals and recommend the best treatments for your needs.
How does the smile design process work?
We start with a consultation where we discuss your goals and take digital images of your teeth. Then, we create a trial version showing how your smile will look after treatment—allowing you to preview results before we begin.
What is a diagnostic trial covering?
A diagnostic trial covering is a temporary version of your future smile, created to help you visualize the final look. It allows our Apex team to make adjustments and ensures you’re completely satisfied before moving forward.
How long does smile design take?
The timeline depends on your treatment plan. Some patients see results in just a few visits, while more comprehensive plans involving veneers or orthodontics may take longer. We’ll give you a clear schedule during your consultation.
Are smile design results permanent?
The longevity of your results depends on the treatments involved. Veneers, crowns, or aligners offer lasting improvements, especially with good oral care and regular dental visits.
Does smile design hurt?
Not at all. Most smile design procedures are minimally invasive. Our team at Apex Dental Group focuses on comfort at every step, using gentle techniques and local anesthesia when needed.
How much does smile design cost in Apex, NC?
The cost varies based on the procedures included—such as whitening, veneers, or crowns. During your visit, we’ll provide a detailed breakdown and explore financing options to fit your budget.
Why choose Apex Dental Group for your smile design?
Our experienced team combines technology and artistry to create smiles that feel natural and confident. We listen closely to your goals and design a plan that’s truly personalized—because every smile we create reflects the person behind it.
Visit our Patient Education Center under the Topic “Restoring Teeth” and remember to look at related treatments on the Cosmetic Treatments page.







